Como o coronavírus mata? Os médicos traçam um percurso feroz no corpo, do cérebro aos dedos dos pés

cov 1

Por Meredith Wadman, Jennifer Couzin-Frankel, Jocelyn Kaiser, Catherine Matacic para a Science

Em rodadas em uma unidade de terapia intensiva de 20 leitos, ocorridas em recentemente, o médico Joshua Denson avaliou dois pacientes com convulsões, muitos com insuficiência respiratória e outros cujos rins estavam em uma perigosa descida. Dias antes, suas rondas foram interrompidas quando sua equipe tentou, e falhou, ressuscitar uma jovem cujo coração parou. Todos compartilhavam uma coisa, diz Denson, médico pulmonar e de cuidados intensivos da Escola de Medicina da Universidade de Tulane. “Eles são todos COVID positivos.”

À medida que o número de casos confirmados de COVID-19 ultrapassa os 2,2 milhões em todo o mundo e as mortes superam os 150.000, médicos e patologistas estão lutando para entender os danos causados ​​pelo coronavírus enquanto este atravessa o corpo. Eles estão percebendo que, embora os pulmões sejam o ponto zero, seu alcance pode se estender a muitos órgãos, incluindo o coração e os vasos sanguíneos, rins, intestino e cérebro.

“[A doença] pode atacar quase tudo no corpo, com consequências devastadoras”, diz o cardiologista Harlan Krumholz, da Universidade de Yale e do Hospital Yale-New Haven, que lidera vários esforços para reunir dados clínicos sobre o COVID-19. “Sua ferocidade é de tirar o fôlego e humilhante.”

Compreender o tumulto poderia ajudar os médicos nas linhas de frente a tratar a fração de pessoas infectadas que ficam desesperadas e às vezes misteriosamente doentes. Uma tendência nova e perigosa à coagulação do sangue transforma alguns casos leves em emergências com risco de vida? Existe uma resposta imune excessivamente zelosa por trás dos piores casos, sugerindo que o tratamento com drogas supressoras do sistema imunológico possa ajudar? O que explica o surpreendentemente baixo oxigênio no sangue que alguns médicos estão relatando em pacientes que, no entanto, não estão ofegando? “Adotar uma abordagem sistêmica pode ser benéfico quando começamos a pensar em terapias”, diz Nilam Mangalmurti, intensivista pulmonar do Hospital da Universidade da Pensilvânia (HUP).

O que se segue é um instantâneo do entendimento em rápida evolução de como o vírus ataca as células ao redor do corpo, especialmente em aproximadamente 5% dos pacientes que ficam gravemente doentes. Apesar dos mais de 1000 artigos que estão sendo lançados em periódicos e em servidores de pré-impressão a cada semana, uma imagem clara é ilusória, pois o vírus age como nenhum patógeno que a humanidade jamais viu. Sem estudos maiores e prospectivos controlados que estão sendo lançados apenas agora, os cientistas precisam extrair informações de pequenos estudos e relatos de casos, geralmente publicados em alta velocidade e ainda não revisados ​​por pares. “Precisamos manter a mente muito aberta à medida que esse fenômeno avança”, diz Nancy Reau, médica em transplante de fígado que trata pacientes com COVID-19 no Rush University Medical Center. “Ainda estamos aprendendo.”

A infecção começa

Quando uma pessoa infectada expele gotículas carregadas de vírus e outra pessoa as inala, o novo coronavírus, chamado SARS-CoV-2, entra no nariz e na garganta. Ele encontra um lar bem-vindo no revestimento do nariz, de acordo com uma pré-impressão de cientistas do Instituto Wellcome Sanger e de outros lugares. Eles descobriram que as células são ricas em um receptor da superfície celular chamado enzima conversora de angiotensina 2 (ACE2). Em todo o corpo, a presença de ACE2, que normalmente ajuda a regular a pressão sanguínea, marca os tecidos vulneráveis ​​à infecção, porque o vírus exige que o receptor entre na célula. Uma vez dentro, o vírus seqüestra as máquinas da célula, fazendo inúmeras cópias de si mesmo e invadindo novas células.

À medida que o vírus se multiplica, uma pessoa infectada pode lançar grandes quantidades dele, principalmente durante a primeira semana. Os sintomas podem estar ausentes neste momento. Ou a nova vítima do vírus pode desenvolver febre, tosse seca, dor de garganta, perda de olfato e paladar ou dores na cabeça e no corpo.

Se o sistema imunológico não repelir o SARS-CoV-2 durante esta fase inicial, o vírus marcha pela traqueia para atacar os pulmões, onde pode se tornar mortal. Os ramos mais finos e distantes da árvore respiratória do pulmão terminam em pequenos sacos aéreos chamados alvéolos, cada um revestido por uma única camada de células que também são ricas em receptores ACE2.

Normalmente, o oxigênio atravessa os alvéolos para os capilares, pequenos vasos sanguíneos que ficam ao lado dos sacos de ar; o oxigênio é então transportado para o resto do corpo. Mas enquanto o sistema imunológico luta com o invasor, a própria batalha interrompe essa transferência saudável de oxigênio. Os glóbulos brancos da linha de frente liberam moléculas inflamatórias chamadas quimiocinas, que por sua vez convocam mais células imunes que têm como alvo e matam células infectadas por vírus, deixando para trás um guisado de células mortas e fluidas – pus. Esta é a patologia subjacente da pneumonia, com seus sintomas correspondentes: tosse; febre; e respiração rápida e superficial (ver gráfico). Alguns pacientes com COVID-19 se recuperam, às vezes com mais apoio do que o oxigênio inspirado pelas pontas nasais.

Outros, porém, deterioram-se, freqüentemente de repente, desenvolvendo uma condição chamada síndrome do desconforto respiratório agudo (SDRA). Os níveis de oxigênio no sangue caem e eles se esforçam cada vez mais para respirar. Nas radiografias e nas tomografias computadorizadas, seus pulmões estão cheios de opacidades brancas onde o espaço negro – o ar – deveria estar. Geralmente, esses pacientes acabam usando ventiladores. Muitos morrem. As autópsias mostram que seus alvéolos ficaram cheios de líquido, glóbulos brancos, muco e detritos das células pulmonares destruídas.

____________________________

O impacto de um invasor

Em casos graves, o SARS-CoV-2 aterrissa nos pulmões e pode causar danos profundos lá. Mas o vírus, ou a resposta do corpo a ele, pode ferir muitos outros órgãos. Os cientistas estão apenas começando a investigar o alcance e a natureza desse dano.

o ataque

Alguns médicos suspeitam que a força motriz em muitas trajetórias de downhill (morro abaixo) de pacientes gravemente doentes seja uma reação exagerada desastrosa do sistema imunológico conhecida como “tempestade de citocinas”, que outras infecções virais são conhecidas por desencadear. Citocinas são moléculas químicas de sinalização que orientam uma resposta imune saudável; mas em uma tempestade de citocinas, os níveis de certas citocinas sobem muito além do necessário e as células imunológicas começam a atacar tecidos saudáveis. Pode ocorrer vazamento de vasos sanguíneos, queda da pressão arterial, formação de coágulos e falência catastrófica de órgãos.

Alguns estudos mostraram níveis elevados dessas citocinas indutoras de inflamação no sangue de pacientes com COVID-19 hospitalizados. “A verdadeira morbimortalidade desta doença provavelmente é causada por uma resposta inflamatória desproporcional ao vírus”, diz Jamie Garfield, pneumologista que cuida de pacientes com COVID-19 no Temple University Hospital.

Mas outros não estão convencidos. “Parece ter havido uma mudança rápida para associar o COVID-19 a esses estados hiperinflamatórios. Eu realmente não vi dados convincentes de que esse seja o caso ”, diz Joseph Levitt, médico de cuidados intensivos pulmonares da Faculdade de Medicina da Universidade de Stanford.

Ele também está preocupado que os esforços para atenuar uma resposta de citocinas possam sair pela culatra. Vários medicamentos direcionados a citocinas específicas estão em ensaios clínicos em pacientes com COVID-19. Mas Levitt teme que esses medicamentos possam suprimir a resposta imune de que o corpo precisa para combater o vírus. “Existe um risco real de permitirmos mais replicação viral”, diz Levitt.

Enquanto isso, outros cientistas estão se concentrando em um sistema orgânico totalmente diferente, que eles dizem estar causando a rápida deterioração de alguns pacientes: o coração e os vasos sanguíneos.

Golpeando o coração

Em Brescia, Itália, uma mulher de 53 anos entrou na sala de emergência de seu hospital local com todos os sintomas clássicos de um ataque cardíaco, incluindo sinais reveladores em seu eletrocardiograma e altos níveis de um marcador de sangue sugerindo danos nos músculos cardíacos. Testes posteriores mostraram inchaço e cicatrização cardíaca, e um ventrículo esquerdo – normalmente a câmara de força do coração – tão fraco que só podia bombear um terço da quantidade normal de sangue. Mas quando os médicos injetaram corante nas artérias coronárias, procurando o bloqueio que significa um ataque cardíaco, eles não encontraram nenhum. Outro teste revelou o porquê: A mulher tinha COVID-19.

Como o vírus ataca o coração e os vasos sanguíneos é um mistério, mas dezenas de pré-impressões e documentos atestam que esse dano é comum. Um artigo de 25 de março da JAMA Cardiology documentou danos cardíacos em quase 20% dos pacientes de 416 hospitalizados por COVID-19 em Wuhan, China. Em outro estudo de Wuhan, 44% dos 36 pacientes internados na UTI tiveram arritmias.

A perturbação parece se estender ao próprio sangue. Entre 184 pacientes com COVID-19 em uma UTI holandesa, 38% tinham sangue coagulado de maneira anormal e quase um terço já tinha coágulos, de acordo com um artigo de 10 de abril da Thrombosis Research. Os coágulos sanguíneos podem se romper e aterrissar nos pulmões, bloqueando as artérias vitais – uma condição conhecida como embolia pulmonar, que teria matado pacientes com COVID-19. Coágulos das artérias também podem se alojar no cérebro, causando derrame. Muitos pacientes têm níveis “dramaticamente” altos de dímero D, um subproduto de coágulos sanguíneos, diz Behnood Bikdeli, pesquisador em medicina cardiovascular no Columbia University Medical Center.

“Quanto mais parecemos, maior a probabilidade de que os coágulos sanguíneos sejam os principais atores na gravidade e mortalidade da doença por COVID-19”, diz Bikdeli.

A infecção também pode levar à constrição dos vasos sanguíneos. Estão surgindo relatos de isquemia nos dedos das mãos e dos pés – uma redução no fluxo sanguíneo que pode levar a inchaço, dígitos dolorosos e morte de tecido.

Nos pulmões, a constrição dos vasos sanguíneos pode ajudar a explicar relatos anedóticos de um fenômeno desconcertante observado na pneumonia causada pelo COVID-19: alguns pacientes têm níveis extremamente baixos de oxigênio no sangue e ainda não estão ofegando. É possível que, em alguns estágios da doença, o vírus altere o delicado equilíbrio de hormônios que ajudam a regular a pressão sanguínea e contrai os vasos sanguíneos que vão para os pulmões. Portanto, a captação de oxigênio é impedida por vasos sanguíneos contraídos, e não por alvéolos entupidos. “Uma teoria é que o vírus afeta a biologia vascular e é por isso que vemos esses níveis realmente baixos de oxigênio”, diz Levitt.

Se a COVID-19 atingir os vasos sanguíneos, isso também pode ajudar a explicar por que os pacientes com danos pré-existentes nesses vasos, por exemplo, devido a diabetes e pressão alta, enfrentam maior risco de doenças graves. Dados recentes do Centro de Controle e Prevenção de Doenças (CDC) de pacientes hospitalizados em 14 estados dos EUA descobriram que cerca de um terço tinha doença pulmonar crônica – mas quase o mesmo apresentava diabetes e metade deles apresentava pressão alta pré-existente.

Mangalmurti diz que ficou “chocada com o fato de não termos um grande número de asmáticos” ou de pacientes com outras doenças respiratórias na UTI do HUP. “É muito impressionante para nós que os fatores de risco parecem ser vasculares: diabetes, obesidade, idade, hipertensão”.

Os cientistas estão lutando para entender exatamente o que causa o dano cardiovascular. O vírus pode atacar diretamente o revestimento do coração e dos vasos sanguíneos, que, como o nariz e os alvéolos, são ricos em receptores ACE2. Ou talvez a falta de oxigênio, devido ao caos nos pulmões, danifique os vasos sanguíneos. Ou uma tempestade de citocinas pode devastar o coração, assim como outros órgãos.

“Ainda estamos no começo”, diz Krumholz. “Realmente não entendemos quem é vulnerável, por que algumas pessoas são afetadas tão severamente, por que ocorre tão rapidamente … e por que é tão difícil [para alguns] se recuperar”.

Vários campos de batalha

Os temores mundiais de falta de ventilação por falha nos pulmões têm recebido muita atenção. Não é uma disputa por outro tipo de equipamento: máquinas de diálise. “Se essas pessoas não estão morrendo de insuficiência pulmonar, estão morrendo de insuficiência renal”, diz a neurologista Jennifer Frontera, do Centro Médico Langone da Universidade de Nova York, que tratou milhares de pacientes com COVID-19. Seu hospital está desenvolvendo um protocolo de diálise com diferentes máquinas para dar suporte a pacientes adicionais. A necessidade de diálise pode ser porque os rins, abundantemente dotados de receptores ACE2, apresentam outro alvo viral.

De acordo com uma pré-impressão, 27% dos 85 pacientes hospitalizados em Wuhan apresentaram insuficiência renal. Outro relatou que 59% dos cerca de 200 pacientes hospitalizados com COVID-19 nas províncias de Hubei e Sichuan na China tinham proteína na urina e 44% tinham sangue; ambos sugerem danos nos rins. Aqueles com lesão renal aguda (LRA) tiveram uma probabilidade cinco vezes maior de morrer do que os pacientes com COVID-19 sem ela, informou a mesma pré-impressão chinesa.

Inside Rome's San Filippo Neri Hospital During The Fight Against CoronavirusA equipe médica trabalha para ajudar um paciente COVID-19 em uma unidade de terapia intensiva na Itália. ANTONIO MASIELLO / GETTY IMAGES

“O pulmão é a principal zona de batalha. Mas uma fração do vírus possivelmente ataca o rim. E, como no campo de batalha real, se dois lugares estão sendo atacados ao mesmo tempo, cada um fica pior ”, diz Hongbo Jia, neurocientista do Instituto de Engenharia Biomédica e Tecnologia de Suzhou da Academia Chinesa de Ciências e co-autor desse estude.

Partículas virais foram identificadas em micrografias eletrônicas de rins de autópsias em um estudo, sugerindo um ataque viral direto. Mas lesões nos rins também podem ser danos colaterais. Os ventiladores aumentam o risco de danos nos rins, assim como os compostos antivirais, incluindo o remdesivir, que estão sendo implantados experimentalmente em pacientes com COVID-19. As tempestades de citocinas também podem reduzir drasticamente o fluxo sanguíneo para o rim, causando danos freqüentemente fatais. E doenças pré-existentes como diabetes podem aumentar as chances de lesão renal. “Há um balde inteiro de pessoas que já têm alguma doença renal crônica que apresentam maior risco de lesão renal aguda”, diz Suzanne Watnick, diretora médica do Northwest Kidney Centers.

Golpeando o cérebro

Outro conjunto impressionante de sintomas em pacientes com COVID-19 centra-se no cérebro e no sistema nervoso central. Frontera diz que os neurologistas são chamados para avaliar de 5% a 10% dos pacientes com coronavírus em seu hospital. Mas ela diz que “provavelmente é uma subestimação grosseira” do número cujos cérebros estão lutando, principalmente porque muitos são sedados e usam ventiladores.

Frontera viu pacientes com encefalite por inflamação cerebral, convulsões e uma “tempestade simpática”, uma hiper-reação do sistema nervoso simpático que causa sintomas semelhantes a convulsões e é mais comum após uma lesão cerebral traumática. Algumas pessoas com COVID-19 perdem a consciência brevemente. Outros têm derrames. Muitos relatam ter perdido o olfato. E Frontera e outros se perguntam se, em alguns casos, a infecção deprime o reflexo do tronco cerebral que detecta a falta de oxigênio. Essa é outra explicação para observações anedóticas de que alguns pacientes não estão buscando ar, apesar dos níveis perigosamente baixos de oxigênio no sangue.

Os receptores ACE2 estão presentes no córtex neural e no tronco cerebral, diz Robert Stevens, médico intensivista da Johns Hopkins Medicine. Mas não se sabe em que circunstâncias o vírus penetra no cérebro e interage com esses receptores. Dito isto, o coronavírus por trás da epidemia de síndrome respiratória aguda grave (SARS) de 2003 – um primo próximo do culpado de hoje – pode se infiltrar nos neurônios e às vezes causar encefalite. Em 3 de abril, um estudo de caso no International Journal of Infectious Diseases, de uma equipe do Japão, relatou traços de novos coronavírus no líquido cefalorraquidiano de um paciente com COVID-19 que desenvolveu meningite e encefalite, sugerindo que também pode penetrar no sistema nervoso central.

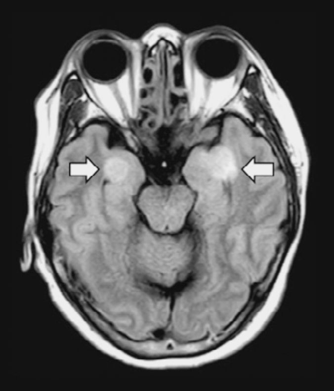
cor 3Uma mulher de 58 anos com COVID-19 desenvolveu encefalite, resultando em danos nos tecidos do cérebro (setas). N. POYIADJI ET AL., RADIOLOGY, (2020) DOI.ORG/10.1148/RADIOL.2020201187

Mas outros fatores podem estar danificando o cérebro. Por exemplo, uma tempestade de citocinas pode causar inchaço no cérebro, e a tendência exagerada do sangue para coagular pode desencadear derrames. O desafio agora é mudar de conjectura para confiança, em um momento em que a equipe está focada em salvar vidas e até mesmo em avaliações neurológicas, como induzir o reflexo de vômito ou transportar pacientes para exames cerebrais que correm o risco de espalhar o vírus.

No mês passado, Sherry Chou, neurologista do Centro Médico da Universidade de Pittsburgh, começou a organizar um consórcio mundial que agora inclui 50 centros para extrair dados neurológicos dos cuidados já recebidos pelos pacientes. Os objetivos iniciais são simples: identificar a prevalência de complicações neurológicas em pacientes hospitalizados e documentar como eles se saem. A longo prazo, Chou e seus colegas esperam coletar exames, testes de laboratório e outros dados para entender melhor o impacto do vírus no sistema nervoso, incluindo o cérebro.

Chou especula sobre uma possível rota de invasão: pelo nariz, depois para cima e pelo bulbo olfativo – explicando relatos de perda de olfato – que se conecta ao cérebro. “É uma teoria interessante”, diz ela. “Nós realmente temos que provar isso.”

A maioria dos sintomas neurológicos “são relatados de colega para colega de boca em boca”, acrescenta Chou. “Acho que ninguém, e certamente não eu, pode dizer que somos especialistas”.

Atingindo o intestino

No início de março, uma mulher de 71 anos de Michigan retornou de um cruzeiro no rio Nilo com diarréia com sangue, vômitos e dor abdominal. Inicialmente, os médicos suspeitavam que ela tivesse um problema estomacal comum, como Salmonella. Mas depois que ela desenvolveu uma tosse, os médicos tomaram um cotonete nasal e a acharam positiva para o novo coronavírus. Uma amostra de fezes positiva para RNA viral, bem como sinais de lesão do cólon observada em uma endoscopia, apontaram para uma infecção gastrointestinal (GI) com o coronavírus, de acordo com um artigo publicado online no The American Journal of Gastroenterology (AJG).

Seu caso se soma a um crescente corpo de evidências sugerindo que o novo coronavírus, como seu primo SARS, pode infectar o revestimento do trato digestivo inferior, onde os receptores cruciais da ACE2 são abundantes. O RNA viral foi encontrado em até 53% das amostras de fezes dos pacientes da amostra. E em um artigo publicado na Gastroenterology, uma equipe chinesa relatou ter encontrado a casca de proteína do vírus nas células gástrica, duodenal e retal nas biópsias de um paciente com COVID-19. “Eu acho que provavelmente se replica no trato gastrointestinal”, diz Mary Estes, virologista da Baylor College of Medicine.

Relatórios recentes sugerem que metade dos pacientes, com média de cerca de 20% nos estudos, sofre de diarréia, diz Brennan Spiegel, do Cedars-Sinai Medical Center, em Los Angeles, co-editor-chefe da AJG. Os sintomas gastrointestinais não estão na lista de sintomas do COVID-19 do CDC, o que poderia fazer com que alguns casos do COVID-19 passassem despercebidos, dizem Spiegel e outros. “Se você tem principalmente febre e diarréia, não fará o teste para o COVID”, diz Douglas Corley, da Kaiser Permanente, norte da Califórnia, co-editor de Gastroenterologia.

A presença de vírus no trato gastrointestinal aumenta a possibilidade inquietante de que ele possa ser transmitido pelas fezes. Mas ainda não está claro se as fezes contêm vírus infecciosos intactos ou apenas RNA e proteínas. Até o momento, “não temos evidências” de que a transmissão fecal seja importante, diz Stanley Perlman, especialista em coronavírus da Universidade de Iowa. O CDC diz que, com base nas experiências com SARS e com o vírus que causa a síndrome respiratória no Oriente Médio, outro primo perigoso do novo coronavírus, o risco de transmissão fecal é provavelmente baixo.

Os intestinos não são o fim da marcha da doença pelo corpo. Por exemplo, até um terço dos pacientes hospitalizados desenvolvem conjuntivite – olhos rosados ​​e lacrimejantes – embora não esteja claro se o vírus invade diretamente o olho. Outros relatórios sugerem danos no fígado: mais da metade dos pacientes com COVID-19 hospitalizados em dois centros chineses apresentavam níveis elevados de enzimas indicando lesão no fígado ou nos ductos biliares. Mas vários especialistas disseram à Science que a invasão viral direta provavelmente não é a culpada. Eles dizem que outros eventos em um corpo em falha, como drogas ou um sistema imunológico em excesso, são mais prováveis ​​de causar danos ao fígado.

Este mapa da devastação que o COVID-19 pode causar no corpo ainda é apenas um esboço. Levará anos de pesquisas minuciosas para aprimorar o quadro de seu alcance e a cascata de efeitos cardiovasculares e imunológicos que ele pode desencadear. À medida que a ciência avança, de sondar tecidos sob microscópios a testar medicamentos em pacientes, a esperança é de tratamentos mais astutos do que o vírus que parou o mundo.

______________________

Este artigo foi originalmente publicado em inglês pela revista Science [Aqui!].

Deixe um comentário